Серебристо-голубой мех
В 1931 году американский фермер В. Виттингем впервые в истории пушного звероводства сообщил о рождении норки серебристо-голубого окраса. Детёныш был получен от родителей дикого типа, имеющих коричневый мех. В дальнейшем гибридологический анализ показал, что от скрещивания серебристо-голубых норок с норками дикого типа можно получить либо всех коричневых детёнышей, либо коричневых и серебристоголубых в соотношении 1:1. При скрещивании серебристо-голубых норок между собой коричневые детёныши никогда не появляются.
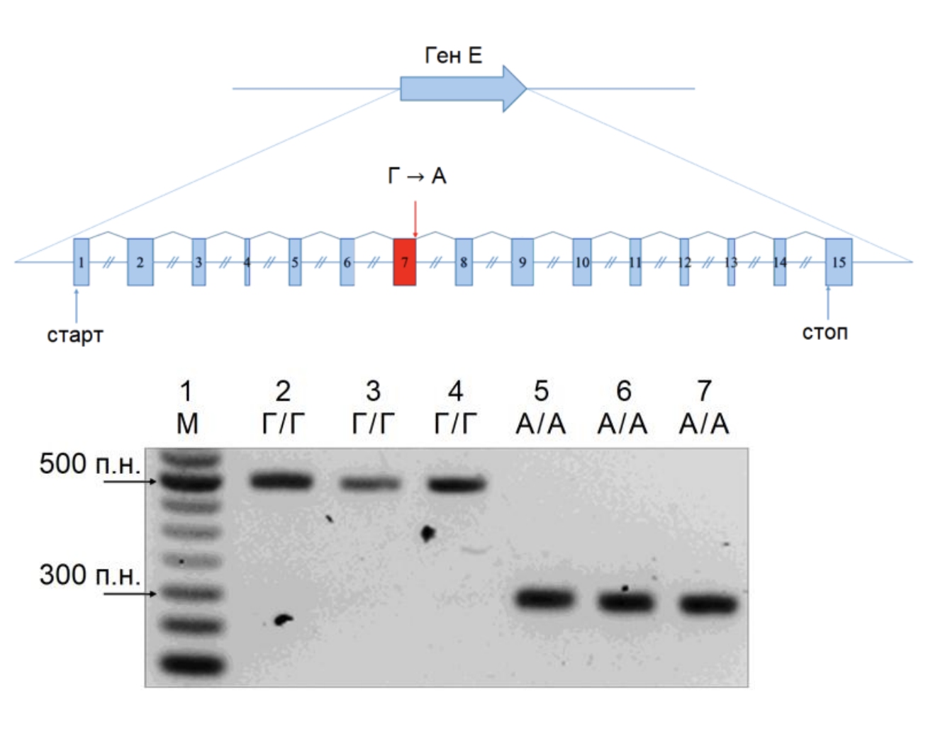
Задание 1. Приведите схемы скрещивания (со всеми генотипами, фенотипами и гаметами), показывающие, почему в некоторых случаях от скрещивания норок дикого типа с серебристо-голубыми можно наблюдать расщепление 1:1 (схема 1 в бл. ответов), а в некоторых – единообразие гибридов (схема 2 в бл. ответов). Доминантный аллель гена обозначьте буквой E, а рецессивный – e. Какой характер наследования имеет серебристо-голубой окрас? Молекулярно-биологические исследования показали, что ген E имеет 15 экзонов. Сравнение первичной структуры ДНК данного гена у норок дикого типа и серебристоголубых показало, что серебристо-голубой окрас является следствием мутации – однонуклеотидной замены Г \rightarrow А. Замена произошла в сайте сплайсинга седьмого экзона. Далее исследователи выделили зрелые (прошедшие сплайсинг) иРНК гена E из клеток норок дикого типа и серебристоголубых, подвергли обратной транскрипции и получили комплементарную ДНК (кДНК), которую исследовали методом ПЦР и электрофореза в агарозном геле. Дорожки 2–4 – кДНК норок дикого типа. Дорожки 5–7 – кДНК серебристо-голубых норок.


3 б
Задание 2. Рассмотрите электрофореграмму и ответьте на вопросы.
2.1. Что нанесено на дорожку 1, почему она необходима при исследовании ДНК методом гельэлектрофореза?
2.2. Предположите, что происходит с иРНК гена Е, в случае наличия мутации Г \rightarrow А.
2.3. Возможно ли увидеть различия, вызванные действием мутации, если для гель-электрофореза использовать не кДНК, а ДНК, выделенную из волосяных фолликулов норок? Ответ обоснуйте.
2.1. 1 балл Маркер молекулярных масс (лесенка), необходим для того, чтобы определить размер фрагментов кДНК на электрофореграмме.
2.2. 2 балла Нарушение сплайсинга. Или выброс нескольких экзонов из зрелой иРНК.
2.3. 2 балла Нет, ДНК не сплайсируется. Или однонуклеотидная замена не даст разницу в длине.
Ген E кодирует белок меланофилин, ответственный за транспорт особых внутриклеточных везикул (меланосом), содержащих пигмент меланин, придающий окраску волосу. Меланосомы образуются в пигментных клетках (меланоцитах), а затем переносятся в клетки кожного эпидермиса (кератиноциты) и клетки волосяных фолликулов, что придаёт цвет коже и волосам. Меланофилин имеет три домена связывания: N-концевой домен для связывания с меланосомой; средний и C-концевой домены для связывания с моторным белком. Причём если моторный белок не свяжется с C-концевым доменом, он не сможет взаимодействовать с актиновыми филаментами. Дальнейшие исследования показали, что замена Г \rightarrow А в сайте сплайсинга седьмого экзона приводит к сдвигу рамки считывания и формированию преждевременного стоп-кодона в восьмом экзоне.

Задание 3. Зная, что пептид выходит из рибосомы N-концом вперёд, отметьте правильные утверждения.
Белок меланофилин имеет третичную структуру в форме глобулы, в составе которой преобладают \alpha-спирали. Компьютерное моделирование пространственной структуры меланофилина показало, что участок белка между аминокислотами 440 и 483 (входит в состав среднего домена) у норок дикого типа укладывается в \alpha-спираль. Исследователи предположили, что спиральная структура необходима для связывания меланофилина с моторным белком. Для того чтобы экспериментально подтвердить свою гипотезу, учёные перевели меланоциты норки дикого типа в культуру клеток. Затем они внесли одну однонуклеотидную замену в ген E, что привело к замене треонина на пролин в 460 положении белка. Поскольку в культуре клеток невозможно увидеть цвет меха, исследователи изучили поведение меланосом в меланоцитах при помощи микроскопа. Было обнаружено, что в клетках дикого типа меланосомы перемещаются из области, близкой к ядру, в сторону клеточной мембраны и располагаются по всему объёму, а в клетках с искусственно внесённой мутацией находятся вблизи ядра и занимают не более 30% клеточного объёма. Окрашивание при помощи антител показало, что меланофилин связан с меланосомами и в клетках дикого типа, и в клетках с мутацией.

Задание 4. Проанализируйте ход эксперимента и его результаты и ответьте на вопросы. При необходимости используйте таблицу генетического кода.
4.1. Какую единственную однонуклеотидную замену внесли исследователи в ДНК клеток меланоцитов, чтобы в 460 положении меланофилина аминокислота треонин заменилась на аминокислоту пролин? Ответ поясните.
4.2. Как в результате внесения мутации изменилась пространственная структура молекулы меланофилина на участке между 440 и 483 аминокислотами? Ответ поясните.
4.3. Объясните разницу в распределении меланосом в клетках дикого типа и в клетках с искусственно внесённой мутацией. Мутации, нарушающие функцию меланофилина, описаны и у других животных и у человека. Во всех случаях нарушение функции белка приводит к ослаблению окраски кожи и волос. Чем сильнее нарушена функция меланофилина, тем светлее получается окраска. Предположим, вы получили чистую линию норок, гомозиготных по искусственно внесённой мутации. Животные имеют ещё более светлый мех, назовём его искристый.
4.1. 2 балла А>Ц в первом положении. 1 балл, но если перебираются варианты с заменами в третьем положении баллов не даем, т.к. в задании сказано, что замена единственная.
4.2. 2 балла Треонин аминокислота полярная, а пролин неполярная, кроме того пролин это иминокислота и ее пространственная структура приводит к изгибу цепи пептида. Следовательно \alpha-спираль на этом участке не сформируется.
4.3. 2 балла Мутация нарушает пространственную структуру меланофилина и он больше не может связываться с моторным белком и актином, а значит меланосомы не могут перемещаться внутри клетки и мигрировать из нее.
Задание 5. Введите обозначения, помня о том, что мутация внесена в ген E. Приведите схемы скрещиваний, которые вы поставите для выяснения характера наследования искристого меха по отношению к окрасу дикого типа и серебристо-голубому. Приведите возможные варианты взаимодействия этих аллелей и соответствующего проявления фенотипов в полученных гибридах.
Внесенная мутация создала новый аллель гена Е, он должен быть обозначен буквой «е» с любым индексом. Если обозначен другой буквой за это задание 0 баллов.
1. Скрещивание чистой линии норок дикого типа с искристыми, фенотип потомков должен быть либо промежуточным (неполное доминирование), либо пятнистым (кодоминирование), либо коричневым (полное доминирование). Возможны другие разумные варианты.
2. Скрещивание чистой линии серебристо-голубых с искристыми фенотип потомков должен быть либо промежуточным (неполное доминирование), либо пятнистым (кодоминирование), либо коричневым (полное доминирование). Возможны другие разумные варианты.