Биология
Войти
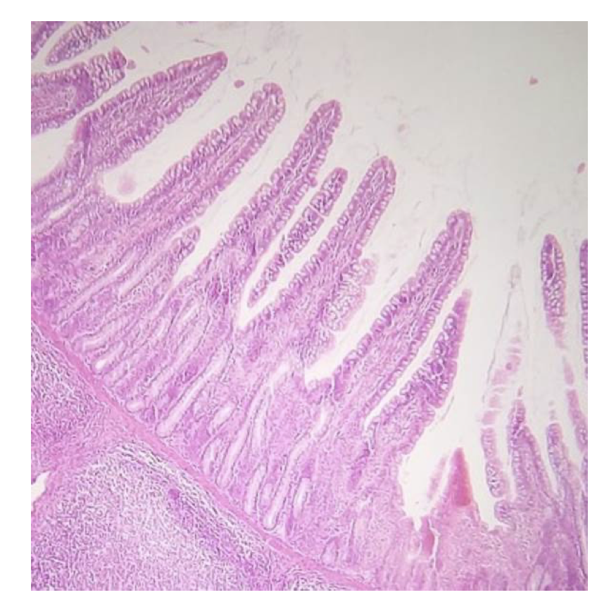
На микрофотографии изображён фрагмент стенки
⇠ База задач
/
Тестовое задание
Гистология
На микрофотографии изображён фрагмент стенки
Ответ
Автор
Источник
ИИ Помощник
Требуется авторизация
Войдите на сервис, чтобы получить доступ к ИИ ассистенту
Войти