Тестовое задание
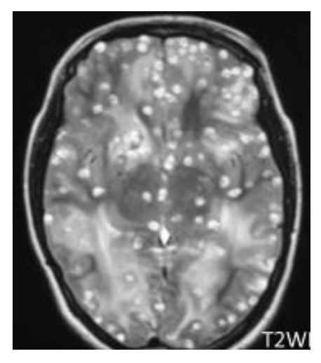
При исследовании головного мозга пациент-X, обратившегося к невропатологу по поводу головных болей, головокружения и нарушения речевых функций, обнаружены многочисленные образования овальной формы, представленные на иллюстрации ниже.

Пациент-X, мужчина 46 лет, проживает в пригороде районного центра, работает фермером. Проанализируйте фотоколлаж, представленный ниже и определите паразита или его фрагмент, одна из стадий которого обнаружена в головном мозге. Выберите номер определенного вами паразита или его фрагмента.
