Биология
Войти
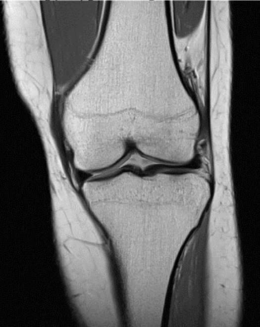
Выберите верный вариант о структуре, изображённой на...
⇠ База задач
/
Тестовое задание
Физиология
Медицина
Анатомия
Выберите верный вариант о структуре, изображённой на МРТ снимке.
Ответ
Автор
Источник
ИИ Помощник
Требуется авторизация
Войдите на сервис, чтобы получить доступ к ИИ ассистенту
Войти