Биология
Войти
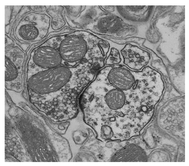
На микрофотографии представлен синапс
⇠ База задач
/
Тестовое задание
Физиология
На микрофотографии представлен синапс
Ответ
Автор
Источник
ИИ Помощник
Требуется авторизация
Войдите на сервис, чтобы получить доступ к ИИ ассистенту
Войти