Биология
Войти
⇠ База задач
/
Тестовое задание
Простая
Цитология
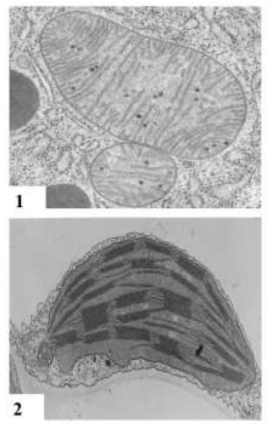
Сопоставьте функции с органоидом, для которого они характерны
Ответ
Автор
Источник
ИИ Помощник
Требуется авторизация
Войдите на сервис, чтобы получить доступ к ИИ ассистенту
Войти