Тестовое задание
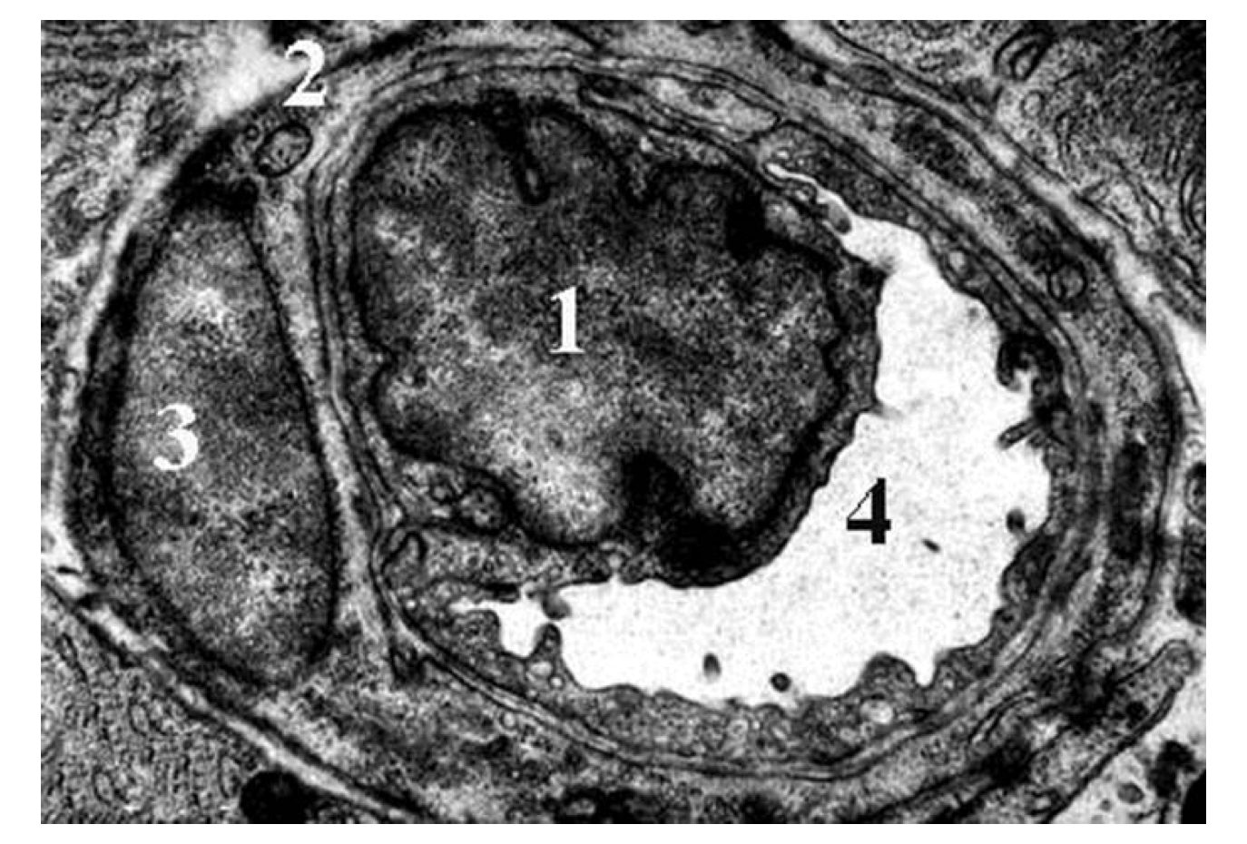
На иллюстрации показан поперечный срез капилляра. 1 – ядро клетки эндотелия, 4 – просвет капилляра. Клетки, подобные клетке, ядро которой обозначено цифрой 3, выполняют очень важные функции в работе капилляров.
Какую функцию НЕ могут выполнять такие клетки
