Биология
Войти
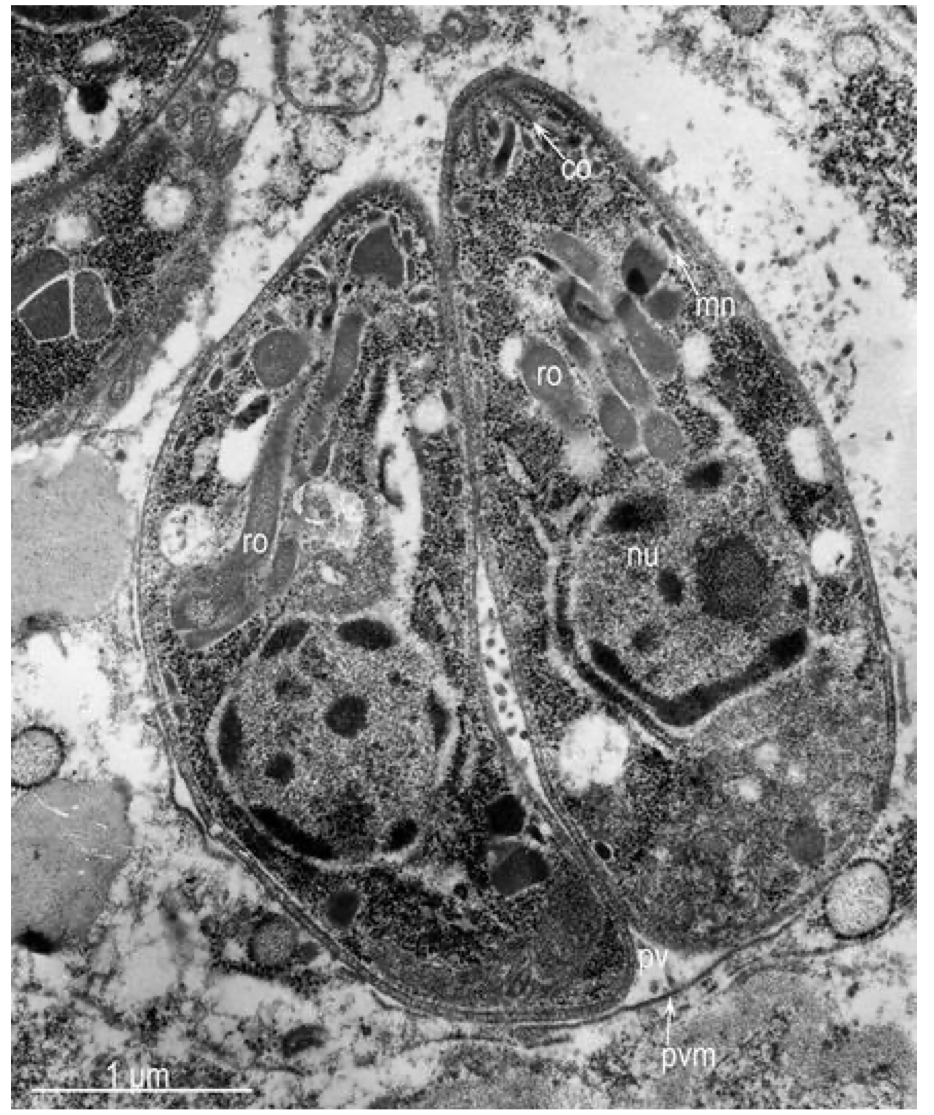
Рассмотрите микрофотографию токсоплазмы и выберите все верные...
⇠ База задач
/
Тестовое задание
Зоология
Рассмотрите микрофотографию токсоплазмы и выберите все верные утверждения.
Ответ
Автор
Источник
ИИ Помощник
Требуется авторизация
Войдите на сервис, чтобы получить доступ к ИИ ассистенту
Войти