Тестовое задание
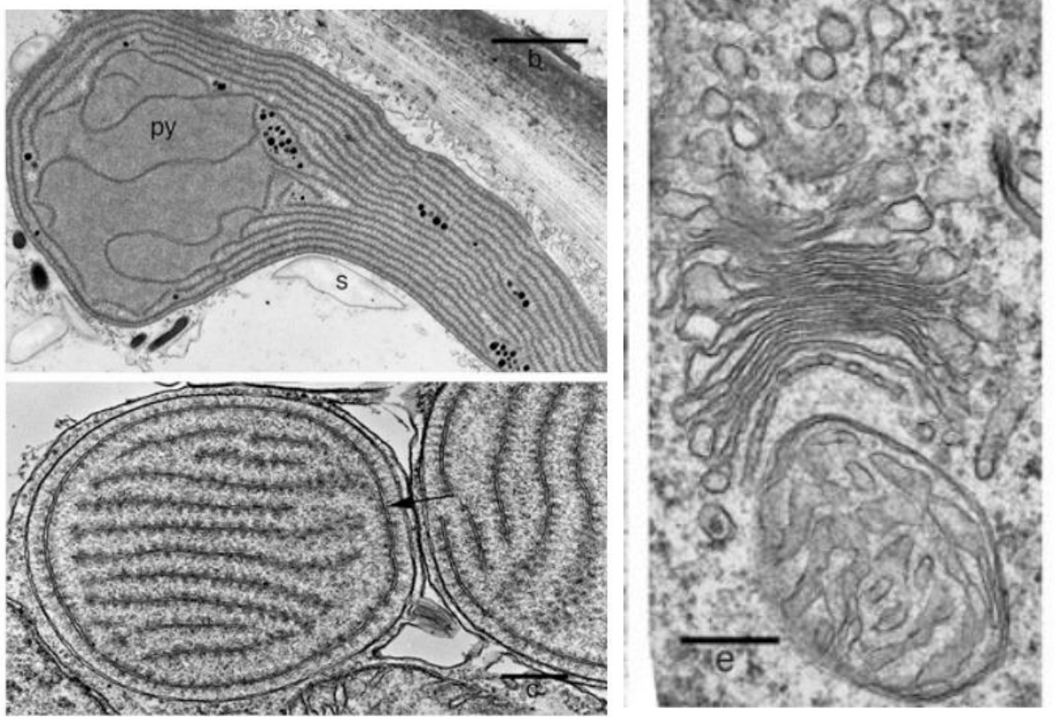
На электронных фотографиях показаны фрагменты клеток водорослей из одного отдела. Определите, к какому отделу они относятся, исходя из того, какие структуры видны на микрофотографиях:

Обозначения: Py – пиреноид; S – крахмал.
На электронных фотографиях показаны фрагменты клеток водорослей из одного отдела. Определите, к какому отделу они относятся, исходя из того, какие структуры видны на микрофотографиях:

Обозначения: Py – пиреноид; S – крахмал.