Биология
Войти
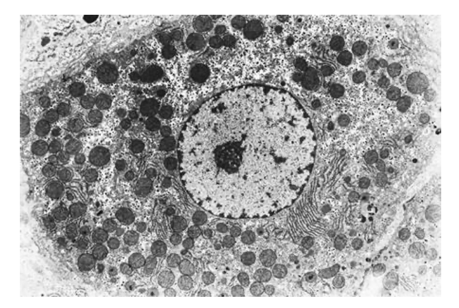
На представленной микрофотографии клетки печени можно увидеть...
⇠ База задач
/
Тестовое задание
Клеточная биология
На представленной микрофотографии клетки печени можно увидеть
Ответ
Автор
Источник
ИИ Помощник
Требуется авторизация
Войдите на сервис, чтобы получить доступ к ИИ ассистенту
Войти