Биология
Войти
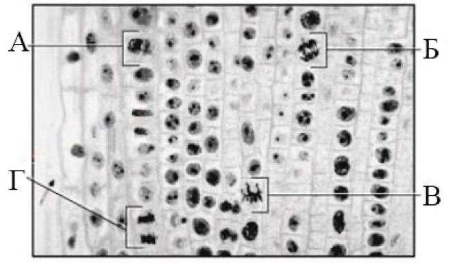
Какая из клеток на микрофотографии в телофазе?...
⇠ База задач
/
Тестовое задание
Цитология
Какая из клеток на микрофотографии в телофазе?
Ответ
Автор
Источник
ИИ Помощник
Требуется авторизация
Войдите на сервис, чтобы получить доступ к ИИ ассистенту
Войти