Тестовое задание
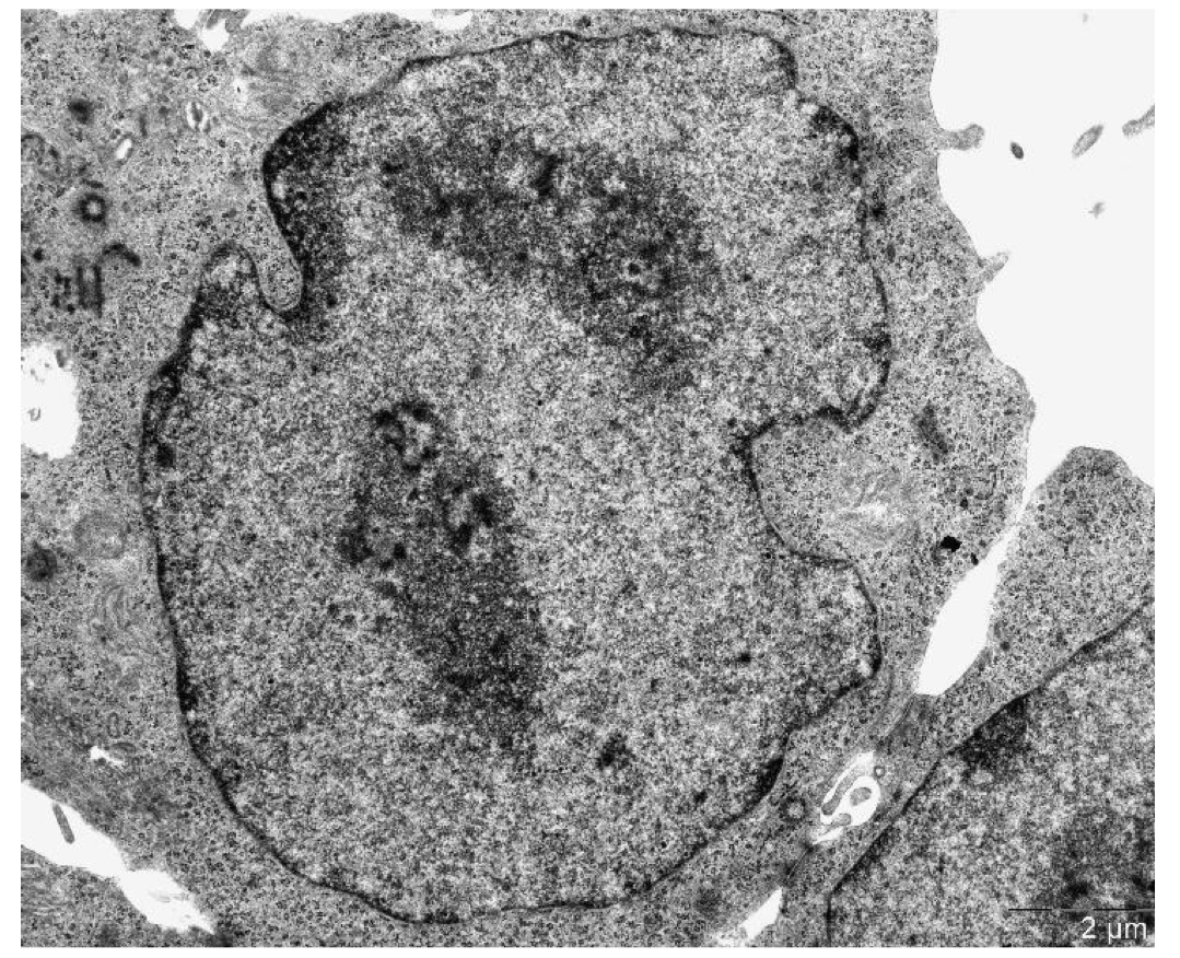
Электронная микроскопия − метод исследования микроструктуры твёрдых тел, который может позволить получить изображения клеточного содержимого. Благодаря высокому разрешению на микрофотографиях с электронного микроскопа можно различить отдельные органеллы. Внимательно изучив фотографию ниже, выберите, какую клеточную структуру нельзя увидеть на ней.
