Тестовое задание
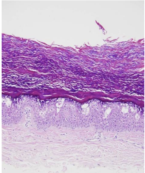
Перед вами гистологический препарат кожи больного буллёзным ихтиозом Сименса – генетическим кожным заболеванием.
Известно, что при данном заболевании нарушается синтез кератина. Исходя из вида препарата, можно предположить, что:

Перед вами гистологический препарат кожи больного буллёзным ихтиозом Сименса – генетическим кожным заболеванием.
Известно, что при данном заболевании нарушается синтез кератина. Исходя из вида препарата, можно предположить, что:
