Биология
Войти
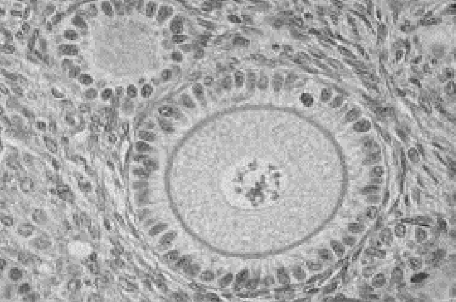
Посмотрите на фотографию и определите, какие утверждения...
⇠ База задач
/
Тестовое задание
Средняя
Физиология
Цитология
Посмотрите на фотографию и определите, какие утверждения являются верными:
Ответ
Автор
Источник
ИИ Помощник
Требуется авторизация
Войдите на сервис, чтобы получить доступ к ИИ ассистенту
Войти