Биология
Войти
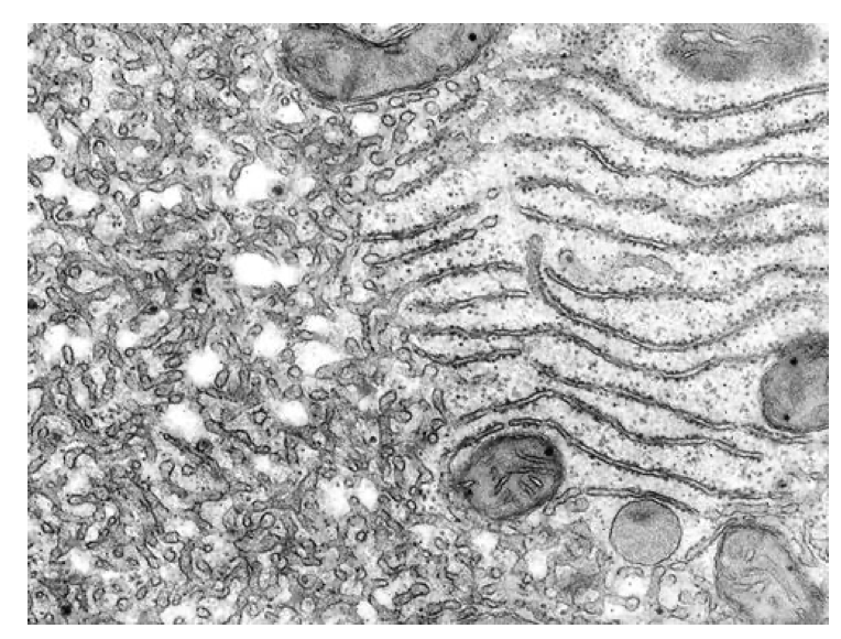
На представленной микрофотографии фрагмента клетки НЕЛЬЗЯ увидеть:...
⇠ База задач
/
Тестовое задание
Клеточная биология
На представленной микрофотографии фрагмента клетки НЕЛЬЗЯ увидеть:
Ответ
Автор
Источник
ИИ Помощник
Требуется авторизация
Войдите на сервис, чтобы получить доступ к ИИ ассистенту
Войти