Логотип Солвхаб

Тестовое задание

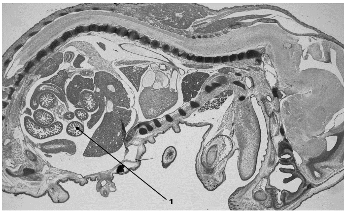
Рассмотрите фотографию гистологического среза. Какой вид эпителия встречается там, куда указывает стрелка?

ИИ Помощник
Требуется авторизацияВойдите на сервис, чтобы получить доступ к ИИ ассистенту