Тестовое задание
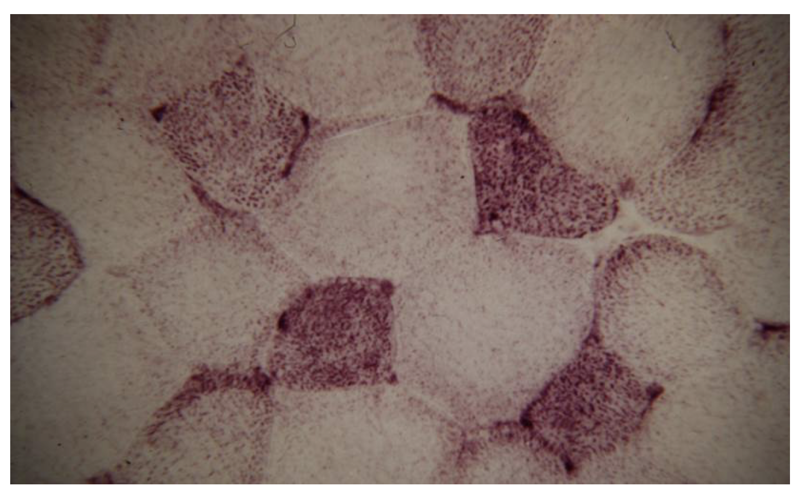
Цитохимическое окрашивание по Гомори позволяет оценить активность сукцинатдегидрогеназы (митохондриального фермента) в тканях и клетках человека. На микрофотографии представлено окрашивание скелетной мускулатуры по Гомори. Чем темнее окрашивание, тем активнее сукцинатдегидрогеназа. В мышечных единицах с наиболее активной сукцинатдегидрогеназой также весьма активно протекает:
