Биология
Войти
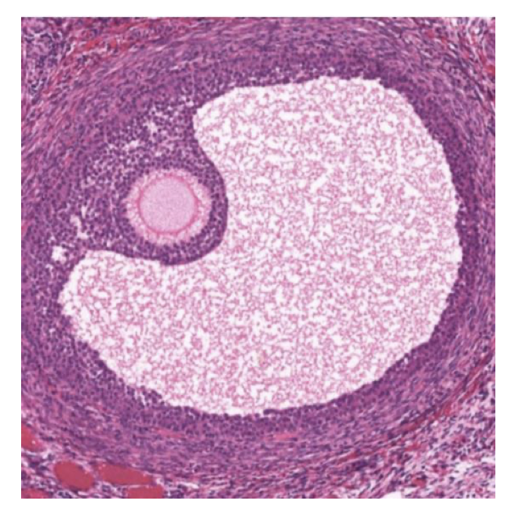
Что изображено на фотографии?
⇠ База задач
/
Тестовое задание
Физиология
Гистология
Что изображено на фотографии?
Ответ
Автор
Источник
ИИ Помощник
Требуется авторизация
Войдите на сервис, чтобы получить доступ к ИИ ассистенту
Войти