Логотип Солвхаб

Тестовое задание

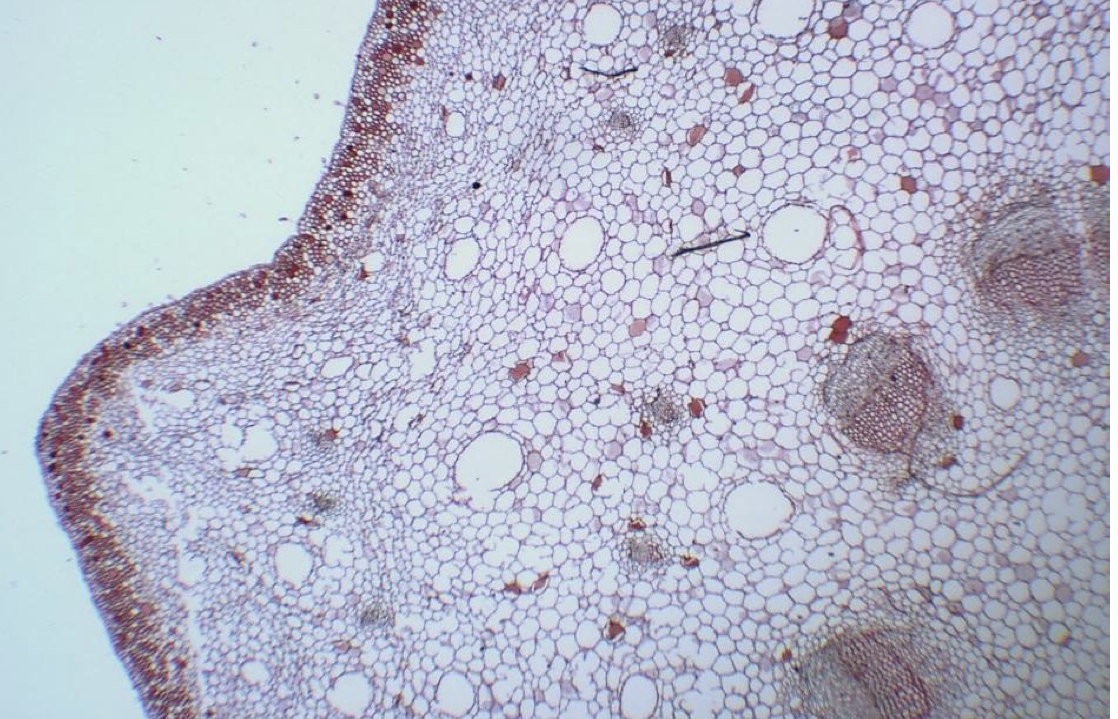
На рисунке показано строение стебля у некоторого представителя группы Саговниковые. Выберите верные утверждения.

ИИ Помощник
Требуется авторизацияВойдите на сервис, чтобы получить доступ к ИИ ассистенту